老年人吃饭不好,警惕老年人肺炎 -金年会官方入口
鲁网8月18日讯 老人只是单一的吃饭不好,就上升到肺炎的程度,是不是有点小题大做了?
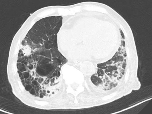
近日,潍坊市人民医院老年医学科接诊一例高龄患者,因饮食不佳5天来诊,无发热,偶有咳嗽咳痰,无恶心呕吐,无胸痛,在外未予治疗。双肺可闻及湿性啰音,余无明显异常。完善相关辅助检查,血常规及肺部ct结果提示肺炎。

图1 血常规结果

图2 肺部ct
什么是老年人肺炎?
老年人肺炎是指年龄≥65岁人群肺组织发生的炎症,属于常见疾病,年龄越大,发病率及病死率越高。老年人肺炎是老年人死亡的主要原因之一。
老年人肺炎的特点?
1.许多老年人肺炎起病隐匿,缺乏发热、咳嗽、咳痰、胸痛等典型症状或症状不明显。许多患者只是身体感觉不适或者基础慢性疾病加重。越是虚弱的老年人,呼吸道症状往往越不明显,呼吸系统外的其他症状越明显。所以容易漏诊、误诊。
近半数以上患者呼吸道症状表现为呼吸频率加快,或者有恶心、呕吐、食欲降低等消化道症状,有些患者会出现嗜睡、意识模糊、精神错乱等中枢神经症状。
2.老年人肺炎往往合并有其他慢性疾病,其中2型糖尿病、慢性阻塞性肺疾病、脑梗死或脑出血后遗症、痴呆、长期卧床等患者更容易发生肺部感染,导致的并发症较多,如呼吸衰竭、心力衰竭、心律失常、电解质紊乱等并发症。
3.老年人肺炎患者因咳痰无力或延髓麻痹而咳痰不能导致痰液引流不畅,具有潜在窒息风险。
4.老年人肺炎常有反复感染的特点。
老年人肺炎的危险因素?
1.年龄:年龄越大,肺部感染的危险越大;
2.吸入因素:老年人由于吞咽反射和咳嗽反射减弱,容易在进食和睡眠的时候发生误吸。
3.长期卧床:老年人由于骨折、心力衰竭等原因长期卧床,痰液不易排出体外,容易造成呼吸道感染;
4.合并慢性病:伴随老龄出现的多种慢性疾病,会导致老人的肺部感染率和病死率增加。临床研究发现大多数老年人肺炎患者至少患有一种或多种基础疾病。
5.口腔卫生和鼻咽部疾病:老年人有牙龈炎、龋齿、扁桃体炎、鼻窦炎等疾病,容易将局部定植的细菌带入呼吸道。
6.免疫力下降:随着年龄的增加,机体免疫力下降,中性粒细胞吞噬杀灭病原菌的能力下降,是老年人呼吸道感染防御能力降低的原因之一。
7.胃食管反流:胃食管反流是老年人常见病,反流容易发生胃内容物呛咳,引起呼吸道感染。
8.细菌病毒感染:肺炎链球菌、流感嗜血杆菌、葡萄球菌等细菌感染及流感病毒、新冠病毒、呼吸道合胞病毒等病毒感染都可引起老年人肺炎,肺炎球菌多糖疫苗(ppv)能抵抗23种肺炎球菌的攻击。有数据显示接种流感疫苗预防肺炎有效率为53%,是阻止老年人肺炎的有效手段。
9.其他因素:包括吸烟、酗酒、社交因素、集体居住、营养不良、缺乏运动、恶性肿瘤放化疗、长期使用糖皮质激素及免疫抑制等。
值得注意的是老年人肺炎常常多个危险因素同时存在并相互影响。因此对于老年人肺炎需要做到早预防、早发现、早诊断、早治疗。
总结
1. 老年人肺炎发病率高、病死率高,需要特别重视。
2. 老年人肺炎症状不典型,往往无咳嗽咳痰发热等典型的肺炎症状,当老年人出现单一吃饭不好或乏力、神志意识改变时,要考虑到肺炎的可能性。
3. 建议根据老年人肺炎的危险因素,做出个体化的预防措施。
4. 接种肺炎球菌疫苗和流感疫苗能有效的预防老年人肺炎。(通讯员 高香 刘传亮)